A nice implant case
- Edward Gayton

- Nov 27, 2019
- 1 min read
I've not done many clinical cases on the blog, but this one was finished recently and I've got the patient's permission to show some photos so I thought I would show what implant treatment can involve.
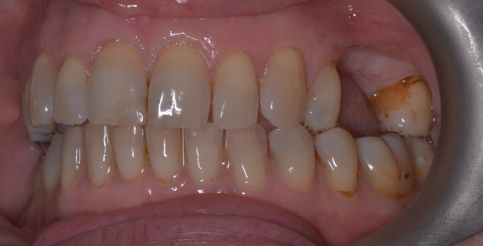
This lovely lady was already a patient of the practice when I saw her. She'd had a gap at the upper left for some time, ever since the first molar had cracked in half. She was also starting to show signs of a crack in the second molar (UL7) so I surmised she's got a pretty strong bite!
Here's a photo of her teeth with the gap.

The UL7 was crowned to protect it from cracking further and we were able to place a Straumann Wide Neck implant to replace her UL6. You can see an xray it here at the end of surgery with its healing cap on.

After about 10 weeks of healing we were able to take an impression of the implant and have a cantilever bridge constructed (i.e. only supported at one end).

And the finished result looked like this;

She was really pleased with the result and I was too. Here's the before and after together.
If you feel like you might benefit from dental implants why not find out more on my implant page. Or give us a ring on 01529 302143 and arrange a consultation with me.










Comments